فیلتر دادهها
                                                     تصویری - حیوانات - (Animals)
                                                    
                                                    
                                                    
                                                    
                                                
                                            
                                                        دیتاست مرغ شامل تصاویر با کیفیت بالا در شرایط نوری مختلف و تنوع بالا با فرمت yoloV11 تقسیم بندی شده به داده های تست و ترین و ولید
                                                    
                                                    
                                                        رایگان
                                                    
                                                    
                                                     تصویری - کپچا - (Captcha)
                                                    
                                                    
                                                    
                                                    
                                                
                                            
                                                        کپچا عددی شامل دیجیتس ۳ و ۴ کاراکتری مناسب اسکرپر ها و لاگین فرم ها لیبل خورده برای تسک های تشخیص کاراکتر و OCR
                                                    
                                                    
                                                        
    ۱۰,۰۰۰
    
    
                                                    
                                                    
                                                     تصویری - خودرو - (Car)
                                                    
                                                    
                                                    
                                                    
                                                
                                            
                                                        این دیتاست شامل خودرو های داخل ایران می باشد، انواع خودرو های سواری، اتوبوس، کامیون و... مناسب برای مدل های کلاس بندی که داده ها به صپرت تقسیم شده به سه دسته Train - Test - Valid و با فرمت Yolo میباشند.
                                                    
                                                    
                                                        رایگان
                                                    
                                                    
                                                     تصویری - نوار کانوایر - (conveyor)
                                                    
                                                    
                                                    
                                                    
                                                
                                            
                                                        دیتاست نوار کانوایر نخی به همراه تخم مرغ های لیبل خورده با فرمت لیبل json از سایت supervisely که با استفاده از متود های آگمنت میتوان تعداد آن را تا سه برابر رساند.
                                                    
                                                    
                                                        
    ۹۷۰,۰۰۰
    
    
                                                    
                                                    
                                                     تصویری - رباتیک - (Robotic)
                                                    
                                                    
                                                    
                                                    
                                                
                                            
                                                        دیتاست سمنتیک سگمنت (ناحیه بندی) زمین فوتبال ربات های انسانما به صورت لیبل خورده COCO Json آماده آموزش مدل.
                                                    
                                                    
                                                        
    ۴۹۹,۰۰۰
    
    
                                                    
                                                    
                                                     تصویری - پزشکی - (Medical)
                                                    
                                                    
                                                    
                                                    
                                                
                                            
                                                        ۱۶۲ عدد نمونه کیس های مثبت و منفی MRI از تومور های ریه مجموعه Decathlon که هر نمونه شامل چند صد لایه عکس میباشد به صورت لیبل خورده و با فرمت nii.gz که فشرده شده و به دو دسته داده آموزش و داده تست تقسیم بندی شده است.
                                                    
                                                    
                                                        رایگان
                                                    
                                                    
                                                     تصویری - خودرو - (Car)
                                                    
                                                    
                                                    
                                                    
                                                
                                            
                                                        دیتاست غنی از پلاک خودرو های ایرانی، این دیتاست شامل خودرو و پلاک آن است و همچنین دارای لیبل با فرمت XML می باشد آماده ترین مدل پلاک خوان.
                                                    
                                                    
                                                        رایگان
                                                    
                                                    
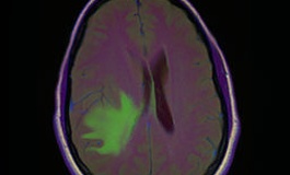
                                                     تصویری - پزشکی - (Medical)
                                                    
                                                    
                                                    
                                                    
                                                
                                            
                                                        مجموعه دیتاست عکس MRI تومور مغزی مناسب جهت تسک های سمنتیک سگمنت و آنالیز عکس های پزشکی که فرمت داده ها و لیبل ها TIF بوده  اصلی میباشد.
همچنین به کمک روش های غنی سازی دیتاست (Augmentation) امکان ایجاد تصاویر بالغ بر ۲۰۰۰۰ عدد نیز میباشد.
                                                    
                                                    
                                                        رایگان
                                                    
                                                    
                                                     تصویری - پوشاک - (Clothes)
                                                    
                                                    
                                                    
                                                    
                                                
                                            
                                                        این مجموعه داده برای مسابقه طبقه بندی کفش EdgeNet Topcoder جمع آوری شد که شامل ۶ کلاس دسته بندی boots, sneakers, flip flops, loafers, sandals, and soccer shoes میباشد.  همچنین داده ها به دو دسته train و valid تقسیم بندی شده است.
                                                    
                                                    
                                                        رایگان