مجموعه داده های MRI تومور مغزی - ناحیه‌بندی

دسته بندی

تصویری - پزشکی - (Medical)

تعداد فایل ها

10000

فرمت تصویر

tiff

اندازه تصاویر

256x256

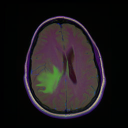
لیبل خورده؟

بله

فرمت لیبل

tiff

فرمت فایل

zip

منبع داده

github.com/mahdizynali/Pytorch-UNet-Brain-Tumor-Detection

توضیحات

مجموعه دیتاست عکس MRI تومور مغزی مناسب جهت تسک های سمنتیک سگمنت و آنالیز عکس های پزشکی که فرمت داده ها و لیبل ها TIF بوده اصلی می‌باشد. همچنین به کمک روش های غنی سازی دیتاست (Augmentation) امکان ایجاد تصاویر بالغ بر ۲۰۰۰۰ عدد نیز می‌باشد.

دیتاست های مرتبط

تصویری - پزشکی - (Medical)
۱۶۲ عدد نمونه کیس های مثبت و منفی MRI از تومور های ریه مجموعه Decathlon که هر نمونه شامل چند صد لایه عکس می‌باشد به صورت لیبل خورده و با فرمت nii.gz که فشرده شده و به دو دسته داده آموزش و داده تست تقسیم بندی شده است.
نظرات کاربران 0 نظر
برای ثبت نظر ابتدا وارد شوید.
هنوز نظری ثبت نشده است.